Casos Clínicos
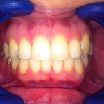
Implantologia
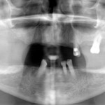
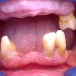
Este é um caso mais simples de se fazer e com um valor (custo-benefício) bastante cómodo.São somente 4 implantes na arcada inferior suportando uma barra sobre a qual será transferido em parte o esforço mastigatório. É confeccionada em RESINA como uma prótese total convencional.






































